Ortodontsko zdravljenje s termoplastično opornico v spodnjem zobnem loku

Ortodontsko zdravljenje s termoplastično opornico v spodnjem zobnem loku

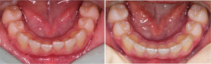
Primer indikacije in ortodontsko zdravljenje s termoplastično opornico v spodnjem zobnem loku. Čas zdravljenja 1 mesec. Terapevt: Karmen Verhovec, dr. dent. med., spec. ortodont, ZoboEstetika d.o.o. | Zobotehnični laboratorij: Tanilab dentalni laboratorij d.o.o.

Dodaj odgovor